Making MRI more accessible
We're applying our superconductor magnet research to build compact MRI systems and provide more people with access to this life-changing medical technology.
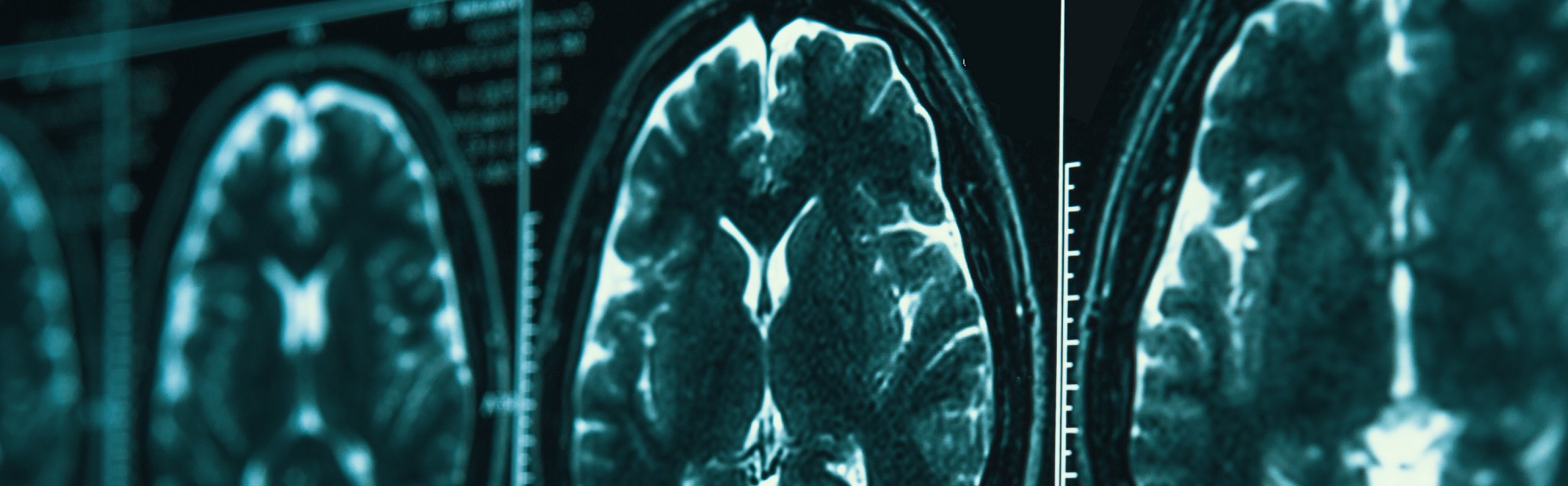
Magnetic resonance imaging (MRI) is the gold standard for non-invasive medical imaging, and allows doctors to diagnose complicated medical conditions.
Normally MRI systems can only be found in specialised facilities because they require specialised infrastructure. For MRI to become more widely used and universally accessible, the way these systems are built (and used) needs to change.
The science
The MRI system uses a powerful magnet to produce a strong magnetic field that forces protons in the body to align with that field. When a radiofrequency current is then pulsed through the patient, the protons are stimulated and spin out of equilibrium, straining against the pull of the magnetic field. The time it takes for the protons to realign with the magnetic field after the current is switched off is characteristic of their local environment. This allows the differentiation of brain structures, and the identification of other soft tissues such as muscles and ligaments.
Improvements in MRI technology have focused on achieving the best-possible imaging performance, maximum flexibility, and maximum uptime (operational reliability). This focus has led to large, expensive and infrastructurally intensive systems becoming the norm—limiting the availability and accessibility of MRI scanners outside of large hospitals.
Paihau—Robinson Research Institute has the capability and expertise to build complete MRI systems. In our mission to make MRI more accessible, we are now working in collaboration with the University of Minnesota to develop a very compact brain scanner. Find out more about this project
We have previously built two systems which have proved that compact MRI systems can be used for scanning of human extremities such as limbs, are suitable for pre-clinical animal studies, and can be used for quality control in the food industry.
In addition to its outstanding work on superconductors, Robinson also brings the weight of the University’s expertise in magnetic resonance, a legacy of the work of Sir Paul Callaghan.

Ben Parkinson
Impact and potential
Small MRI systems would make brain scans more accessible. Potentially, they could enable patients to have a brain scan completed at a regional hub—perhaps a large doctors’ surgery—rather than going to hospital.
If a compact, fit-for-purpose solution can be made—not just at the right price point—a reduced requirement for infrastructure would lead to the potential for industrial applications of MRI.
The people
Ben Parkinson is a senior engineer in Robinson Research Institute, and an expert in magnetic resonance systems.